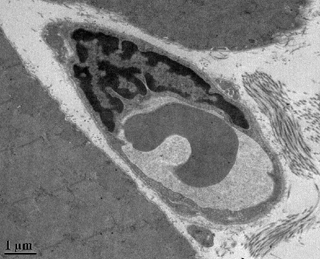
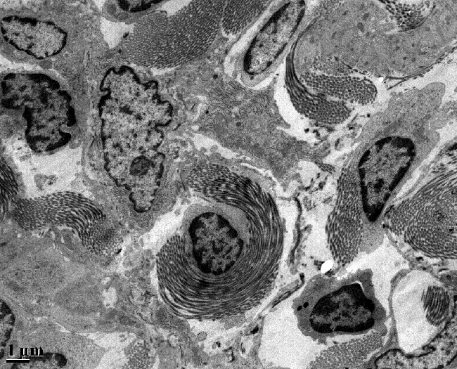
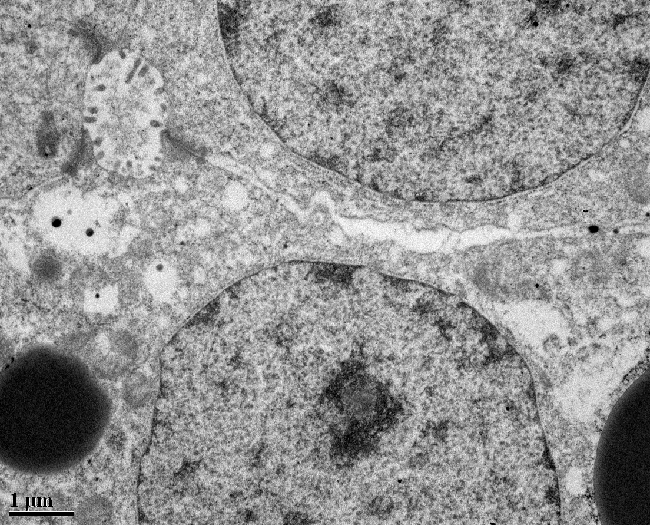
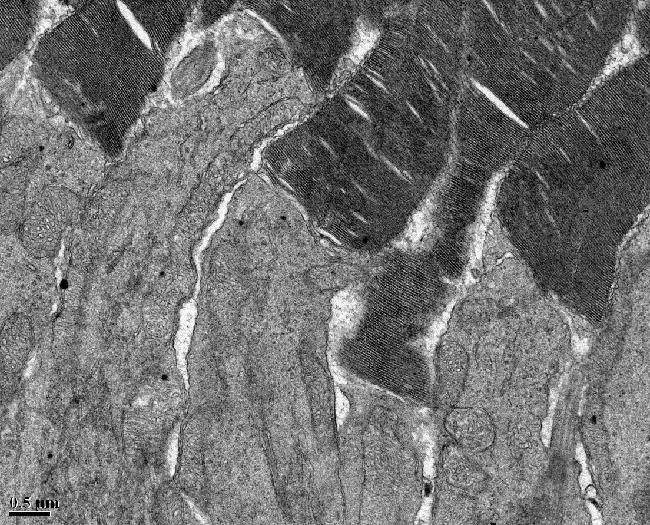
Galleries
Have a look at some image samples our faculty has captured using the scanning electron microscopes (SEM), transmission electron microscopes (TEM), and light microscopes (LM) in the Advance Microscopy Facility (AMF).
Click to enlarge the images in the three galleries.










































